干货分享--动物实验之肺癌原位模型构建
发布时间:2025-02-07
浏览次数:36346
作者:东极药物
一、什么是肺癌原位模型?肺癌原位模型,是指将肿瘤细胞通过注射等方式移植到模式动物肺部构建的动物模型,进而在小鼠等实验动物体内模拟人类肺癌发生、发展过程的模型。与皮下移植模型、人源肿瘤异种移植模型等相比···
一、什么是肺癌原位模型?
肺癌原位模型,是指将肿瘤细胞通过注射等方式移植到模式动物肺部构建的动物模型,进而在小鼠等实验动物体内模拟人类肺癌发生、发展过程的模型。与皮下移植模型、人源肿瘤异种移植模型等相比,原位模型能够更真实地反映肺癌在人体内的微环境,为肺癌研究提供更为接近临床实际情况的实验平台。
二、肺癌原位模型的构建方法
1. 细胞系选择及准备工作
为了便于观察肺癌细胞在体内生长情况,多选用带荧光素酶(Luciferase)标签的A549/H1299细胞,取对数生长期的细胞用胰酶消化收集,PBS重悬后与生长因子减少的Matrigel基质胶按1:1的比例混合即制备成可注射的混合悬液。
2. 实验动物的选择及的准备工作
Ø 免疫缺陷小鼠是近年来研究肺癌使用最多的动物。其中,由万贝生物/瑞业模型动物中心自主研发的第三代重度免疫缺陷鼠——NSFG小鼠已被证实能成功且高效制备肺原位癌模型。
Ø 多选取6-8周龄的NSFG鼠,置于超净工作台中麻醉,小鼠由兴奋状态转为麻醉状态后将其以右侧卧位固定,胸腔表面用酒精消毒。
3. 切口位置的选取,确定肺部位置
Ø 确定位置:于小鼠左腋前线下1cm处用左手持镊子将皮肤拎起,右手持眼科手术剪将皮肤横向剪开约1 cm的小口。
Ø 露出肺部:观察小鼠心脏搏动处,将心脏定位好后再水平向左移动皮肤切口,可发现与心脏暗红色组织不同的白色实质性的左肺组织。

4. 肿瘤细胞注射
Ø 定位好后将事先抽吸好的胰岛素注射器插入左肺,进针深度3mm,角度以垂直为佳。
Ø 注射完后停顿5~10s,左右旋转慢速出针。
5. 小鼠伤口缝合及术后护理
Ø 在切口处滴两滴双抗,切口用弯镊夹紧,再用Vetbond胶水粘合。最后在伤口上涂抹碘伏 ,帮助伤口愈合
Ø 小鼠右侧卧位置于37℃恒温板上,确保伤口朝上,直至其苏醒后,放回原笼继续饲养,预计4至6天内伤口将完全愈合。
三、注意事项
1. 注射的细胞数量尽量保证均一性;
2. 与matrigel基质胶接触的用品均需预冷;
3. 手术定位必须精准;
4. 操作避开较粗血管;
5. 优选细针头胰岛素注射器;
6. 全程无菌操作。
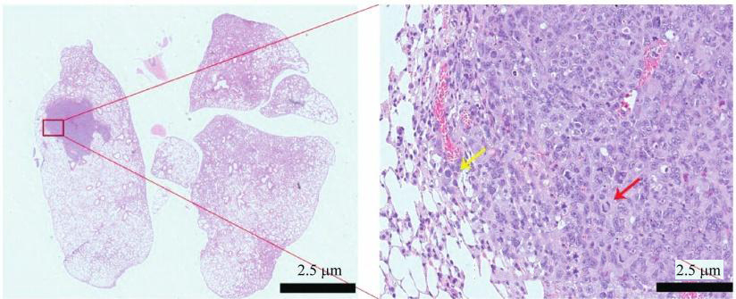
四、模型验证
1. 成模时间:一般原位注射一周后,肺癌原位小鼠模型即可建成;
2. 验证方法:
① 小动物活体成像

② 肺组织病理切片H&E染色、免疫组化染色等

五、肺癌原位模型的优势
1. 更接近真实环境:原位模型能够模拟肺癌在人体内的发生、发展及转移过程,提供更接近临床实际的实验数据;
2. 高成瘤率:相比其他模型,原位模型的成瘤率更高,实验周期更短,有助于加速研究进展;
3. 广泛的应用前景:原位模型不仅可用于肺癌的发病机制研究,还可用于抗肺癌药物筛选、药物毒性试验及免疫治疗试验等多个领域。
文章出自:实验外包 想了解更多请关注:http://www.dj-cro.com/













